전체 글에 해당하는 글 35

모야모야병 완치와 원인

교육|2025. 11. 22. 06:26

 

모야모야병 완치와 원인

모야모야병은 뇌로 가는 혈관이 점진적으로 막히는 희귀 뇌혈관질환입니다. 정확한 발병 원인이 밝혀지지 않았으며, 현재 완치할 수 있는 치료 방법은 없지만 적절한 시기에 수술적 치료를 받으면 80% 이상의 환자가 정상적인 생활을 영위할 수 있습니다.

 

모야모야병이란?

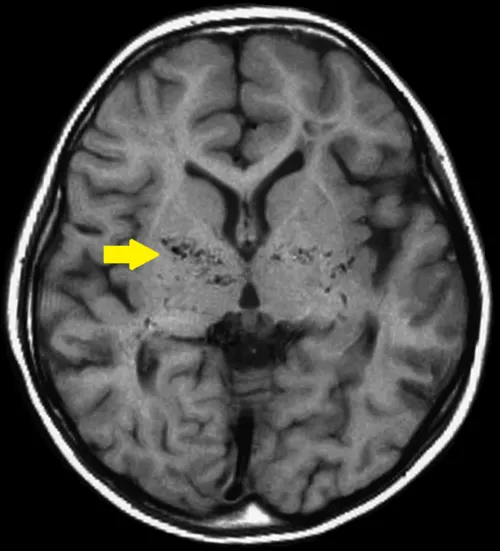
모야모야병은 뇌의 주요 혈관인 내경동맥의 끝부분과 윌리스 동맥륜이 이유 없이 좁아지거나 막히면서, 이를 보충하기 위해 뇌 밑부분에 가느다란 혈관들이 생겨나는 질환입니다. 혈관 조영술 검사에서 이러한 가느다란 혈관들이 연기가 피어오르는 모양으로 보여 '모야모야(뜻: 담배연기)'라는 이름이 붙여졌습니다.

 

모야모야병은 동양인, 특히 한국과 일본에서 발병률이 높으며 서양국가보다 약 10배 이상 높습니다. 여성이 남성보다 약 2배 정도 더 많이 발생합니다.

 

 

모야모야병의 원인

1. 명확한 원인이 밝혀지지 않음

모야모야병의 정확한 발병 원인은 현재까지 완전히 규명되지 않았습니다. 다양한 가설이 제시되고 있지만 어느 것도 확실한 원인으로 입증되지 못했습니다.

 

2. 추정되는 주요 원인 가설

감염을 통한 자가면역 반응이 혈관염을 유발한다는 설, 환경적 요인, 유전적 요소 등 여러 가설이 있습니다. 그러나 아직까지 명확한 증거가 부족합니다.

 

3. 유전적 소인

약 10~15% 정도의 환자가 질병의 가족력을 보이고 있습니다. 특히 17번 염색체에 위치한 RNF213 유전자가 모야모야병과 강한 연관성을 가지고 있는 것으로 알려져 있습니다. 그러나 이것이 직접적인 원인이라기보다는 병 발생에 취약한 유전적 배경을 제공하는 것으로 이해됩니다.

 

4. 미토콘드리아 이상(최신 연구)

2018년 서울대어린이병원 김승기 교수팀이 세계 최초로 규명한 원인으로, 혈관내피전구세포에 있는 비정상적 형태의 미토콘드리아와 그에 따른 활성산소 증가가 모야모야병의 원인으로 작용한다고 보고했습니다.

 

5. 선천성 vs 후천성

모야모야병은 유전병이 아니지만 유전적 소인이 관여할 것으로 생각됩니다. 병의 발현 시기가 다양하여 소아 시기에 나타나기도 하고 성인이 되어서 혈관 변화가 생기는 경우도 있습니다.

 

모야모야병의 증상

 

 

소아 환자의 주요 증상

마비 증상(78%), 경련(26%), 두통 등이 나타납니다.

 

성인 환자의 주요 증상

두통(58%), 의식장애(52%), 일시적 마비, 감각이상, 언어장애, 시각장애, 인지 기능 저하 등이 나타납니다.

 

증상 악화 요인

울음을 터뜨리거나 감정이 격해지는 행위, 뜨거운 음식 먹기, 심한 운동, 풍선 불기, 과호흡을 유발하는 활동 등이 증상을 악화시킵니다. 이러한 상황에서 뇌혈관이 더 좁아져 순간적으로 팔다리에 힘이 빠지는 일시적 마비증상이 나타날 수 있습니다.

 

모야모야병의 진단

두개 내 양측 내경동맥 말단부위나 주요 가지 동맥의 점차적인 폐쇄로 특징적인 소견을 통해 진단합니다. 뇌 혈관 조영술에서 연기 같은 미세한 혈관들이 관찰되면 모야모야병으로 진단됩니다. 뇌혈역학적 검사(SPECT)를 통해 혈역학적 스트레스 정도를 평가하고 치료 방침을 결정합니다.

 

모야모야병의 완치 가능성

완치는 불가능

모야모야병은 불치병입니다. 현대 의학으로는 모야모야병 자체를 완치할 수 없습니다. 병이 진행될수록 내경동맥을 통한 뇌혈류가 감소하기 때문에 혈관을 정상으로 되돌리는 것은 불가능합니다.

 

완치에 가까운 치료 가능

다행히 조기 진단으로 적절한 치료가 이루어지면 완치에 가까운 치료 성과를 거둘 수 있습니다. 적절한 시기에 수술적 치료를 받으면 80% 이상의 환자가 정상적인 생활을 영위할 수 있습니다.

 

병의 자연 경과

모야모야병은 뇌 속 혈관이 모두 막히고 뇌 바깥 혈관이 안으로 자라 들어가게 되면 병의 진행이 끝납니다. 병의 진행이 끝나면 대부분의 경우 환자도 이에 적응하여 심한 증상을 보이지 않고 일상생활을 할 수 있습니다.

 

모야모야병의 치료 방법

1. 내과적 약물 치료

현재까지 모야모야병을 완치할 수 있는 약물 치료는 없습니다. 그러나 급성기 뇌허혈 증상 발생 직후에는 뇌경색 예방을 위해 항혈소판제제(아스피린, 클로피도그렐 등), 칼슘통로차단제 등을 처방합니다. 이러한 약물치료는 뇌졸중의 위험을 줄일 수 있는 것으로 보고되고 있습니다.

 

2. 수술적 치료

약물 치료로는 뇌허혈 증상을 호전시킬 수 없으므로 거의 반드시 수술적 치료를 시행해야 합니다. 신경학적 증상이 있으면서 영상검사에서 뇌혈류 감소가 확인될 경우 예방적 수술을 시행합니다.

 

3. 뇌혈관문합술의 종류

뇌혈관 우회로 수술은 신경외과 뇌혈관 수술 중 최고 난이도의 수술입니다. 수술법은 세 가지로 구분됩니다.

 

직접 혈관 문합술: 뇌 표면의 중대뇌동맥과 두피의 천측두동맥을 직접 연결하여 혈류량을 즉시 늘리는 방법입니다. 성인의 경우 효과적입니다.

 

간접 혈관 문합술: 두피, 근육, 경막 등의 혈관이나 혈관이 풍부한 조직을 뇌 표면에 얹어 신생혈관이 뇌 안으로 자랄 수 있도록 유도하는 방법입니다. 소아 환자에서 좋은 성적을 거두며 위험성이 적습니다. 2-3주가 지나면 뇌혈류가 증가됩니다.

 

복합 뇌혈관문합술: 직접 혈관 문합술과 간접 혈관 문합술을 병합하여 시행하는 방법으로, 성인에서는 간접문합술만으로 충분한 효과를 볼 수 없어 두 방법을 함께 시행합니다.

 

4. 기타 치료

혈역학적인 불안정으로 인해 발생하는 동맥류나 가성동맥류는 색전술 치료가 시행됩니다.

 

수술 후 경과 및 관리

수술의 효과

수술 후 모야모야병의 호전은 허혈성 발작 증상에서 가장 두드러집니다. 수술 전에 발생한 영구적 신경손상이나 심한 인지지능 장애의 악화도 예방됩니다. 수술 후 2년이 경과하면 대부분의 허혈 증상은 사라지거나 약해집니다.

 

양측 뇌 수술

소아 모야모야병은 양쪽 혈관을 침범하므로 보통 4-6주 간격으로 양쪽을 모두 수술해야 합니다. 일반적으로는 최근에 증상이 더 자주 나타나고 심한 쪽을 먼저 수술합니다.

 

장기 관리

수술 후 최소 4~5년간 병원에 다니면서 치료를 받고 정기적으로 뇌혈류에 대한 평가를 시행해야 합니다. 시간이 지나면서 연결한 혈관이 굵어지고 혈류가 보강되어 뇌경색이나 뇌출혈을 예방합니다.

 

모야모야병 환자의 일상생활 관리

주의사항

탈수가 유발될 정도의 격한 운동은 삼가고 가벼운 운동을 규칙적으로 합니다. 관악기 연주나 풍선 불기, 과호흡을 야기할 수 있는 활동은 삼갑니다. 울음을 터뜨리거나 감정이 격해지는 상황을 최대한 피해야 합니다.

 

피해야 할 상황

갑상선 기능 항진증, 임신 같은 상황에서 신진대사가 증가하면 증상이 악화될 수 있으므로 주의가 필요합니다.

 

예후와 전망

조기 진단의 중요성

모야모야병은 다른 희귀질환에 비해 적기에 치료한다면 예후가 좋은 편입니다. 따라서 전조증상이 나타났을 때 즉시 신경외과적 치료가 가능한 병원에 방문하는 것이 매우 중요합니다.

 

전조증상 확인

두통 증상 또는 땅이 빙글 도는 느낌, 몸의 한쪽 마비증상, 구음장애, 근육마비, 단어가 잘 생각이 나지 않는 등의 증상이 나타나면 즉시 병원을 방문해야 합니다.

 

결론

모야모야병은 불치병이지만, 조기 발견과 적절한 수술적 치료를 통해 80% 이상의 환자가 정상적인 일상생활을 이어갈 수 있습니다. 명확한 원인이 밝혀지지 않았기 때문에 예방이 어렵지만, 가족력이 있는 경우 정기적인 검진을 통해 조기에 발견하는 것이 중요합니다. 의심 증상이 나타나면 즉시 신경외과 전문의의 진료를 받아 빠른 진단과 치료를 받는 것이 최선의 예방 및 관리 방법입니다.

 

⚠️ 모야모야병은 조기 진단과 적절한 시기의 수술이 예후를 크게 좌우합니다. 의심 증상이 있으면 지체하지 말고 병원을 방문하세요! ⚠️

 

'교육' 카테고리의 다른 글

모야모야병이란?  (0) 2025.11.22
그래픽카드 성능순위  (1) 2025.11.21
디지털 온누리 앱카드 등록 방법  (0) 2025.11.21
갤럭시 s26엣지 가격 스펙  (1) 2025.11.20
갤럭시 s26울트라 가격  (0) 2025.11.20

댓글()

모야모야병이란?

교육|2025. 11. 22. 02:13

모야모야병, 뇌혈관질환, 혈액순환, 뇌건강, 식이요법, 건강한식단, 혈관건강, 뇌졸중예방, 혈압관리, 질병예방

모야모야병이란?

모야모야병은 뇌의 주요 혈관인 양쪽 경동맥의 말단부가 비정상적으로 좁아지면서 뇌로 가는 혈류가 감소하는 희귀 난치성 질환입니다. 혈류 부족으로 인해 뇌경색, 뇌출혈, 일시적 신체 마비 등 합병증이 발생할 수 있어 식생활과 생활습관 관리가 매우 중요합니다.

모야모야병에 좋은 음식 5가지

 

1. 콩 및 두부

콩에 함유된 사포닌 성분은 혈액 속 콜레스테롤을 배출시켜 혈관을 깨끗하게 해줍니다. 또한 마그네슘과 혈압을 낮추는 성분이 풍부해 뇌혈관 건강 유지에 효과적입니다. 두부, 두유, 검은콩밥 등 다양한 형태로 섭취할 수 있습니다.

 

2. 양파와 마늘

양파의 퀘르세틴 성분은 혈관을 좋게 만들어 혈액을 깨끗하게 하고 혈액순환을 원활하게 합니다. 마늘은 혈전을 풀어주는 역할을 하며, 혈액의 점도를 낮추고 혈관을 확장하는 효과가 있습니다. 위장이 약하다면 생으로 섭취하기보다는 조리해서 섭취하는 것이 좋습니다.

 

3. 해조류 및 녹황색 채소

미역, 파래, 다시마 등의 해조류에는 요오드, 미네랄, 아미노산, 섬유질, 비타민 등 혈관을 깨끗하게 해주는 성분들이 풍부합니다. 시금치, 브로콜리 등 녹황색 채소에는 칼륨이 풍부해 혈압 조절에 도움을 주고, 브로콜리의 콜린 성분과 설포라판은 뇌신경 건강을 지켜줍니다.

 

4. 토마토, 사과 등 항산화 과일

토마토의 라이코펜과 사과의 폴리페놀은 항산화 작용을 하여 뇌세포 손상을 방지해줍니다. 이러한 항산화 성분은 뇌신경 노화를 막고 뇌 건강을 지키는 데 효과적입니다. 신선한 과일을 꾸준히 섭취하는 습관이 중요합니다.

 

5. 견과류 및 통곡물

호두, 땅콩, 아몬드 등의 견과류는 뇌세포 노폐물 제거와 LDL 콜레스테롤 수치를 낮추는 데 도움이 됩니다. 통곡물은 혈당이 급격히 오르내리는 것을 방지해 뇌혈관 안정에 도움을 주며, 양질의 단백질 공급에도 효과적입니다.

 

모야모야병 환자가 피해야 할 음식

 

 

1. 고염분 음식

과도한 나트륨 섭취는 혈압을 올려 뇌혈관에 큰 부담을 줍니다. 짜거나 자극적인 음식은 피하는 것이 좋으며, 하루 염분 섭취를 10g 이하로 제한해야 합니다.

 

2. 기름진 음식 및 트랜스지방

패스트푸드, 튀김류, 기름진 육류는 혈관에 기름 찌꺼기를 쌓이게 하여 혈류를 방해합니다. 트랜스지방이 많이 포함된 과자, 버터, 오징어, 장어 등도 콜레스테롤 수치를 높이므로 주의해야 합니다.

 

3. 카페인 및 알코올

과도한 카페인과 알코올 섭취는 혈압 변화를 유발하고 혈관 수축에 영향을 줄 수 있습니다. 혈압 불안정으로 인한 뇌졸중 위험이 증가할 수 있으므로 절제가 필요합니다.

 

4. 고단당 식품

단당류가 높은 음식은 혈당을 급격히 상승시켜 뇌혈관에 부담을 줍니다. 특히 과자, 초콜릿 등 단순 당분이 높은 간식은 비만을 초래할 수 있으며, 모야모야병 환자에게 비만은 치명적입니다.

 

모야모야병 환자 식습관 관리 4가지 원칙

 

 

1. 균형 잡힌 소식

한 번에 너무 많은 양을 먹으면 소화 과정에서 혈액이 위장으로 몰려 상대적으로 뇌로 가는 혈류량이 줄어들 수 있습니다. 최소한의 영양분을 균형 있게 여러 번에 나누어 섭취하는 소식이 권장됩니다.

 

2. 충분한 수분 섭취

물을 자주 마시면 혈액의 점도를 낮추고 혈액순환을 개선하는 데 도움이 됩니다. 뇌로 가는 혈류를 원활하게 유지하기 위해 하루 적절한 양의 수분 섭취가 필요합니다.

 

3. 신선한 채소와 과일 꾸준한 섭취

채소와 과일에 풍부한 비타민, 미네랄, 항산화제는 뇌 건강과 혈관 건강을 지키는 데 중요합니다. 엽록소가 풍부한 녹색 야채와 비타민 C가 풍부한 과일을 매일 섭취하는 습관이 중요합니다.

 

4. 개별 상담을 통한 식단 조절

모야모야병 환자의 식이는 현재 건강 상태, 증상, 복용 중인 약물 등에 따라 개별적으로 조절되어야 합니다. 특정 음식이나 보조제를 섭취하기 전에는 반드시 주치의 또는 전문 영양사와 상담하는 것이 가장 중요합니다.

 

모야모야병 환자 생활습관 관리 4가지

1. 정기적인 혈압 관리

혈압이 너무 높아도 낮아도 뇌혈관에 위험을 줄 수 있습니다. 정기적인 혈압 체크와 약물 관리를 통해 안정적인 혈압 유지가 필수입니다.

 

2. 스트레스 조절

과도한 스트레스는 혈압을 순간적으로 치솟게 하거나 혈관을 수축시켜 발작 위험을 높일 수 있습니다. 명상, 음악 감상, 산책 등으로 스트레스를 관리해야 합니다.

 

3. 금연 및 금주

흡연은 혈관을 수축시키고, 과도한 음주는 혈압을 불안정하게 만들어 뇌졸중 발생 위험을 높입니다. 모야모야병 환자에게는 금연과 금주가 매우 중요합니다.

 

4. 규칙적인 가벼운 운동

무리하지 않는 범위 내에서 규칙적으로 산책, 스트레칭 등 가벼운 운동을 하면 혈류 개선, 체중 조절, 혈압 조절에 효과적입니다. 격렬한 운동은 혈압 상승을 유발할 수 있으므로 피해야 합니다.

 

모야모야병 환자 음식 섭취 비교표

모야모야병 환자 권장음식 vs 피해야할 음식
음식 카테고리 권장 음식 효능 피해야할 음식
콩류 콩, 두부, 두유 혈관 건강 유지, 혈압 저하 -
향신료 양파, 마늘 혈액 점도 저하, 혈전 제거 -
채소 해조류, 시금치, 브로콜리 칼륨, 미네랄 공급 염장 채소, 기름에 절인 채소
과일 토마토, 사과, 방울토마토 항산화 성분, 뇌세포 보호 과도한 당분 함유 과일
견과류 호두, 아몬드, 땅콩 노폐물 제거, 콜레스테롤 저하 염분 많은 견과류
곡물 통곡물, 귀리, 현미 혈당 안정, 섬유소 공급 흰쌀, 정제 탄수화물
육류 닭고기(껍질 제거), 생선 양질 단백질 공급 기름진 육류, 내장류
음료 물, 저지방우유 수분 보충, 혈류 개선 카페인, 알코올, 고당음료
간식 요거트, 고구마 영양 보충, 포만감 패스트푸드, 튀김, 과자

 

자주 묻는 질문 TOP 5

Q: 모야모야병 환자도 육류를 먹어도 되나요?

A: 네, 가능합니다. 다만 기름진 육류와 내장류는 피하고, 껍질을 제거한 닭고기나 생선처럼 양질의 단백질 음식을 선택해야 합니다. 과다 섭취는 피해야 합니다.

 

Q: 건강 보조제를 먹어도 괜찮나요?

A: 오메가3, 비타민 등 보조제의 무분별한 과잉 섭취는 혈액 응고에 영향을 줄 수 있습니다. 반드시 전문가와 상담 후에 섭취 여부를 결정해야 합니다.

 

Q: 하루에 먹으면 안 되는 염분의 양은 어느 정도인가요?

A: 모야모야병 환자는 하루 염분 섭취를 10g 이하로 제한하는 것이 권장됩니다. 짠 음식, 절인 음식, 가공식품을 최소화해야 합니다.

 

Q: 양파와 마늘은 생으로 먹어야 더 효과가 있나요?

A: 생으로 먹는 것이 더 효과적이지만, 위장이 약하다면 조리해서 섭취해도 괜찮습니다. 중요한 것은 꾸준히 섭취하는 것입니다.

 

Q: 규칙적인 운동은 얼마나 자주 해야 하나요?

A: 무리하지 않는 가벼운 운동을 매일 또는 일주일에 3-5회 정도 하는 것이 권장됩니다. 산책, 스트레칭 등 혈압을 급격히 올리지 않는 운동이 적합합니다.

 

체크리스트 & 마무리

모야모야병은 현재로서는 완치가 어려운 질환이지만, 적절한 식습관과 생활습관 관리를 통해 증상 악화를 늦추고 합병증을 예방할 수 있습니다. 혈관 건강을 지키는 것이 뇌 건강을 지키는 가장 중요한 방법입니다.

 

핵심은 혈액순환을 원활하게 하고 혈압을 안정적으로 유지하는 것입니다. 좋은 음식을 섭취하는 것만큼 피해야 할 음식을 피하는 것도 중요합니다. 모야모야병 환자 개인의 건강 상태와 약물 복용 여부에 따라 식단이 달라질 수 있으므로 반드시 주치의나 영양사와 상담 후 실행하세요.

 

⚠️ 모야모야병은 진행성 질환이므로 정기적인 의료 검진과 상담이 필수입니다! 식생활 개선과 함께 의료진의 지도를 받으세요! ⚠️

 

 

'교육' 카테고리의 다른 글

모야모야병 완치와 원인  (2) 2025.11.22
그래픽카드 성능순위  (1) 2025.11.21
디지털 온누리 앱카드 등록 방법  (0) 2025.11.21
갤럭시 s26엣지 가격 스펙  (1) 2025.11.20
갤럭시 s26울트라 가격  (0) 2025.11.20

댓글()

모야모야병 유전

생활 도움 정보|2025. 11. 21. 22:12

모야모야병, 유전질환, 희귀질환, 유전자, RNF213, 가족력, 뇌졸중, 신경외과, 유전상담, 의료정보

모야모야병 유전의 모든 것

모야모야병은 뇌 혈관이 점진적으로 좁아지는 희귀 난치성 질환으로, 뇌졸중, 출혈, 발작 등 심각한 합병증을 유발합니다. 특히 가족력이 있는 경우 발병 위험이 현저히 높아지는데, 이는 이 질환이 강한 유전적 요소를 가지고 있기 때문입니다. 한 가정의 여러 가족 구성원이 모야모야병으로 진단받거나, 가족 중 한 명이 이 질환을 가진 경우 자신이나 자녀의 발병 가능성에 대해 궁금할 수 있습니다. 모야모야병의 유전 패턴부터 유전자 검사, 가족 계획까지 모든 내용을 완벽하게 정리했습니다!

 

모야모야병의 기본 정보

 

모야모야병의 정의

질병명: 모야모야병(Moyamoya disease, MMD) | 진단 기준: 뇌 내 큰 동맥(경동맥)의 양쪽 폐색 또는 심한 협착 | 특징: 혈류 부족을 보상하기 위해 이상한 섬유 혈관망이 형성됨 (일본말로 '연기처럼 흐려지는 모습'이라는 뜻의 '모야모야'라는 이름) | 질환 분류: 일차성 모야모야병(Moyamoya disease)과 이차성 모야모야증후군(Moyamoya syndrome)

 

발병 현황

발생 빈도: 동아시아(특히 일본, 한국)에서 10만 명당 5명 | 성별: 여성이 남성보다 약 2배 더 많음 | 연령: 5세 전후 소아형과 30~40대 성인형 두 가지 | 가족력: 일본인의 약 15%, 한국인의 약 10~15%가 가족 중 한 명 이상이 동일 질환 보유

 

모야모야병의 유전 패턴

 

유전 방식: 상염색체 우성 패턴 (Autosomal Dominant)

의미: 부모 중 한 명이 변형된 유전자를 가지고 있으면 자녀가 모야모야병에 걸릴 확률은 50% | 특징: 아버지에서 아들로 전달 가능 (부성 전달 가능) | 다세대 전파: 여러 세대에 걸쳐 가족 내 전파 가능

 

불완전 침투(Reduced Penetrance)의 의미

정의: 변형된 유전자를 가지고 있어도 모두 발병하는 것은 아니라는 뜻 | 발병율: 유전자 보유자의 약 40~70%만 증상 발현 | 일부 무증상 보유자: 유전자는 있지만 평생 증상이 나타나지 않는 경우도 있음 | 연령 의존성: 나이가 들수록 발병 확률이 감소하는 경향

 

모계 전달의 우위 (Maternal Transmission Bias)

통계: 어머니에게서 전달될 확률이 아버지에게서 전달될 확률보다 약 3.4배 높음 | 이유: 유전체 각인(Genomic Imprinting) 등 후성유전학적 기전 추측 | 후기 발병: 어머니로부터 물려받은 경우 성인기에 후기 발병 경향

 

모야모야병 관련 주요 유전자

 

 

RNF213 유전자 (가장 중요)

RNF213 유전자 정보
항목 내용 비고
위치 17번 염색체 (17q25.3) 모야모야병 감수성 유전자
기능 혈관 형성 및 내피세포 기능에 영향 정확한 기능은 아직 밝혀지지 않음
주요 변이 R4810K (가장 흔한 변이) 동아시아인에서 창시자 효과
질병 연관성 동아시아 환자의 약 60~80%에서 검출 가장 강력한 위험 인자
임상 의미 변이 보유 = 모야모야병 발병 위험 증가 반드시 발병하는 것은 아님

 

기타 관련 유전자

다중 유전자 관여: 모야모야병은 단일 유전자가 아닌 여러 유전자 조합의 영향 | 보고된 연관 유전 위치: 3p24-p26, 6q25, 8q23 등 여러 위치 | 아직 미확인 유전자: 학계에서 많은 미지의 유전자들이 있을 것으로 추정 | HLA 유전자: 특정 HLA 대립유전자와의 연관성도 보고됨

 

가족 내 발병 위험도

 

가족력에 따른 발병 위험도 (연간 위험도)

모야모야병 가족 내 발병 위험도
가족 관계 연간 발병 위험도 (10,000명당) 비교 대상군 대비 위험도
일반인 약 5 (10만 명당 5명) 기준
아버지 영향 약 62.5 (10,000명당) 약 12배 증가
어머니 영향 약 87.7 (10,000명당) 약 17배 증가 (모계 우위)
형제자매 약 212.4 (10,000명당) 약 42배 증가
일란성 쌍둥이 약 1,254 (10,000명당) 약 250배 증가

 

가족력이 있는 경우 고려사항

형제자매 검사: 유전자 검사 또는 영상 검사 고려 | 자녀 모니터링: 정기적인 신경학적 평가 필요 | 조기 증상 인식: 뇌졸중 유사 증상, 두통, 발작 등 주의깊게 관찰 | 응급 계획: 급성 증상 발생 시 신속한 대응 체계 구축

 

모야모야병 유전자 검사

 

 

 

검사 방법 및 대상

1차 검사: RNF213 유전자 검사 (가장 중요) | 방법: 혈액 채취 후 DNA 시퀀싱 | 검사 대상: 모야모야병 진단 환자, 가족력 있는 사람, 무증상 보유자 | 검사 비용: 보험 적용 여부는 국가와 상황에 따라 다름

 

검사 결과 해석

양성 결과: RNF213 변이 발견 → 모야모야병 발병 위험 증가, 하지만 반드시 발병하는 것은 아님 | 음성 결과: RNF213 변이 미검출 → 다른 미지의 유전자 또는 환경적 요인 가능성 | 미분류 변이(VUS): 임상적 의미가 불명확한 변이 → 전문의와 상담 필요

 

유전상담의 중요성

유전상담사 상담: 검사 전후 전문가의 충분한 설명과 상담 필수 | 심리적 지원: 발병 위험 정보가 미치는 심리적 영향에 대한 대비 | 가족 계획: 임신을 계획하는 경우 유전상담 권장

 

가족 계획 및 산전 진단

 

부모가 모야모야병 또는 유전자 보유자인 경우

산전 진단: 양수천자 또는 융모막 융모막 생검(CVS)을 통한 태아 유전자 검사 가능 | 착상 전 유전자 검사(PGD): 체외수정 시 정상 배아 선택 가능 | 상담: 결정 전에 산부인과 의사, 유전상담사와 충분한 상담 필요

 

자녀가 유전자를 물려받은 경우 대응

정기 모니터링: 정기적인 신경학적 검진 및 필요시 뇌 영상 검사 | 조기 진단: 증상 발현 전 질환 발견 가능 | 예방적 치료: 필요시 혈관 형성 수술(뇌혈관 우회수술) 등 고려 | 생활 관리: 충분한 수면, 감염 예방, 과로 회피 등

 

자주 묻는 질문 TOP 5

 

 

 

Q: 부모 중 한 명이 모야모야병을 가지면 자녀도 반드시 걸리나요?

A: 아니요. 유전자는 50% 확률로 물려받지만, 물려받은 사람이 모두 증상을 나타내는 것은 아닙니다(불완전 침투). 약 40~70%만 발병합니다.

 

Q: RNF213 유전자 변이가 있으면 100% 모야모야병이 되나요?

A: 아니요. RNF213 변이가 있어도 모두 발병하지는 않습니다. 변이가 있는 사람의 약 40~70%만 증상을 보이며, 일부는 평생 증상이 없을 수 있습니다.

 

Q: 형제자매도 유전자 검사를 받아야 하나요?

A: 형제자매가 모야모야병 유전자를 물려받을 가능성이 50%이므로, 형제자매도 검사를 받을 것을 권장합니다. 또한 정기적인 신경학적 검진도 필요합니다.

 

Q: 아버지보다 어머니로부터 받은 경우가 더 위험한가요?

A: 통계적으로 어머니로부터 물려받은 경우의 발병 위험도가 약 3.4배 더 높습니다. 이는 후성유전학적 기전(유전체 각인) 때문으로 추정됩니다.

 

Q: 혼자만 모야모야병이고 가족력이 없으면 유전되지 않나요?

A: 현재 증상이 없지만 부모나 형제자매 중 무증상 보유자가 있을 수 있습니다. 따라서 가족 중 근시 및 유전자 검사를 권장합니다.

 

생활 관리 및 예방

 

유전자 보유자 또는 무증상 보유자의 주의사항

정기 검진: 최소 연 1회 신경학적 평가 및 필요시 뇌 MRI/MRA | 증상 인식: 일시적 마비, 언어장애, 시각 변화 등 뇌졸중 증상 주의 | 생활 습관: 충분한 수면, 스트레스 관리, 감염 예방 | 약물 관리: 혈소판응집 억제제 복용 고려 (의사 상담 필요) | 피해야 할 것: 과로, 고도 운동, 급격한 온도 변화

 

응급 대응

응급 상황: 급작스러운 마비, 언어장애, 시각 문제, 심한 두통 등 | 대응: 119 신고 후 응급 치료 | 병원 정보: 신경외과 전문의가 있는 3차 의료기관 방문

 

마무리

모야모야병의 유전적 특성을 이해하는 것은 본인과 가족의 건강 관리에 매우 중요합니다. 상염색체 우성 패턴으로 전달되지만 불완전 침투로 인해 모두 발병하지는 않는다는 점, 어머니로부터의 전달이 더 위험할 수 있다는 점, 그리고 RNF213 유전자가 가장 중요한 위험 인자라는 점을 기억하는 것이 중요합니다.

 

가족 중 모야모야병 환자가 있다면, 형제자매와 자녀도 유전자 검사 및 정기적인 신경학적 평가를 받을 것을 권장합니다. 조기 진단과 적절한 관리는 질병의 진행을 지연시키고 심각한 합병증을 예방할 수 있습니다. 전문의와의 충분한 상담을 통해 개인별 맞춤형 관리 전략을 수립하세요.

 

⚠️ 유전자 보유자도 모두 발병하는 것은 아닙니다! 하지만 정기적인 모니터링은 필수입니다! 가족력이 있으면 형제자매와 자녀도 검사를 받으세요! 급성 증상 발생 시 즉시 응급실을 가세요! 유전상담사와의 상담을 권장합니다! ⚠️

 

 

'생활 도움 정보' 카테고리의 다른 글

겨울철 난방 적정온도  (0) 2025.12.13
올리브오일 보관법  (1) 2025.12.13
디지털온누리 카드등록  (0) 2025.11.21
모야모야병 증상  (0) 2025.11.21
디지털 온누리상품권 환급  (0) 2025.11.21

댓글()